【20代男性、腰痛】が改善した症例
来院動機
・約1年前にスプリントの練習をしていた際に右腰を痛めた。痛みが強く安静と痛み止めを服用していたが痛みが次第に鈍痛のように変化していき現在でも捻る・反るなどで動作痛が出現し、仕事にも支障がでるため来院。
所見
・体幹後屈、回旋で痛みあり。
・股関節周囲筋の硬さあり、大腿直筋や臀部筋のストレッチで腰部の痛みが誘発される。
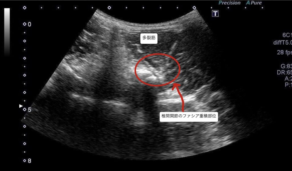
・超音波エコーの観察で、腰椎L4/5番の椎間関節にファシア癒着部位を確認。


施術
・腰椎椎間関節L4/5の脊髄神経後枝内側枝に鍼通電を行った。
・股関節周囲の筋肉に対し柔軟性獲得のため鍼や徒手施術を行った。


経過
・初回の施術から、動作時痛の痛みスケール10→6まで改善。
・施術(計6回)+柔軟性獲得のためのエクササイズを指導すると痛みがほぼ消失した。
考察
・痛みは脊髄神経後枝内側枝周囲の環境悪化、ファシア癒着による痛みの可能性が高い。
・股関節運動で腰部の痛みが誘発されたため、太ももやお尻の筋肉の柔軟性低下により股関節の運動制御により腰椎が代償してしまった結果、椎間関節付近に負荷がかかり痛みの原因になったと考える。





