【40代男性、坐骨神経痛の痺れ】が改善した症例
来院動機
仕事中で重いものを持ち上げた時に腰を痛めた。以降、太もも裏から足にかけて強い痺れと痛みが出現し歩行がうまくできなくなった。整形外科では坐骨神経痛と診断。10年前に腰椎椎間板ヘルニアの診断を受けている。
所見
・立ち上がり動作、起き上がり動作(特に後屈での動作)で腰の痛みを強く感じる。
・歩行時の、太もも裏~ふくらはぎ外側にかけて痺れを感じる。
・坐骨神経痛の原因を特定するためのスペシャルテストを実施した。SLR(坐骨神経痛の原因である神経根を特定する検査)・知覚検査を行い陽性反応が見られた。
・筋力検査では足の指の筋力低下がみられた。
・触診を行い、脊柱起立筋の過緊張と股関節周囲の筋肉の柔軟性低下・可動域の低下があった。
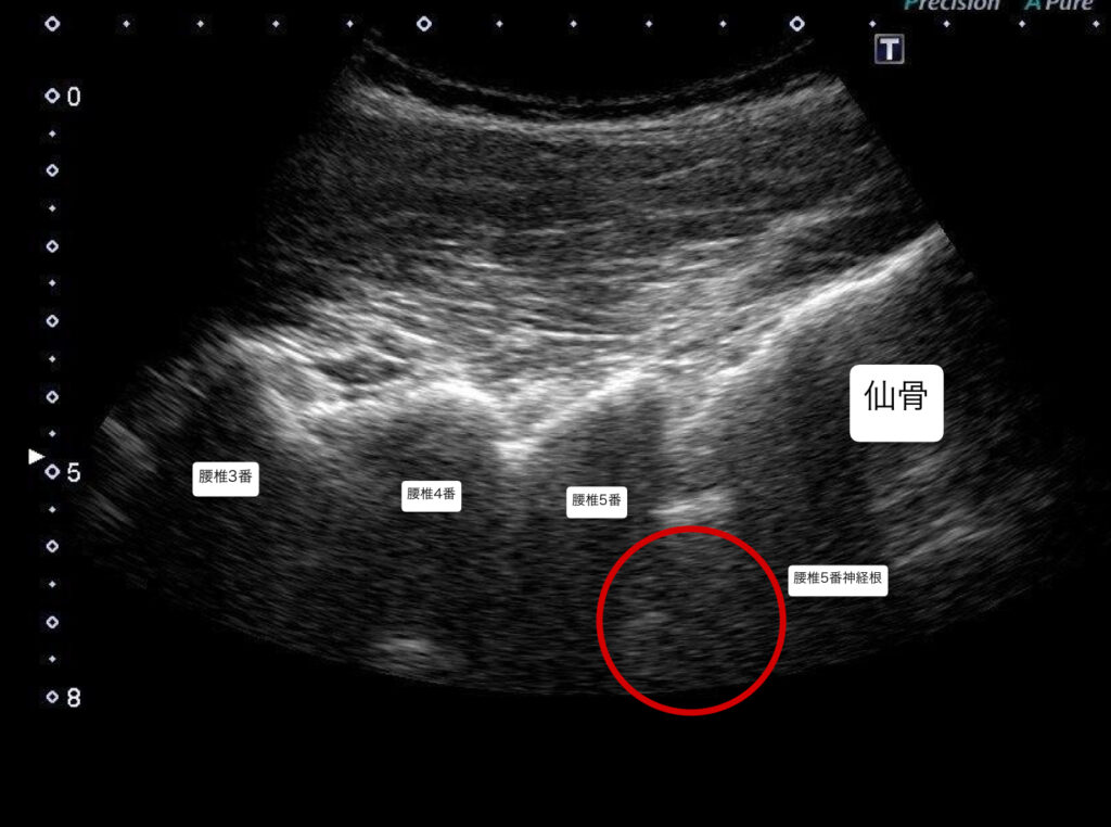
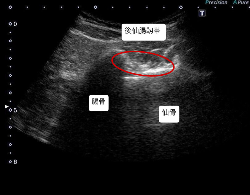
・超音波エコーで観察したところ、腰椎5番目・仙骨1番の椎間関節と仙腸関節の靭帯周囲にファシアの重責がみられた。



施術
・坐骨神経痛の原因が腰椎5番目の神経根周囲の可能性があったため、エコーガイド下L5/S1神経根と後仙腸靭帯に対しエコー下鍼施術、鍼通電を行った。
・股関節周囲筋群の硬さにより、椎間関節に負担がかかっている可能性があるため徒手でリリースを行った(ハムストリングス・大腿四頭筋・腸腰筋・大、中殿筋・梨状筋)
経過
初回:施術後の起き上がり・立ち上がり動作での痛みが軽減した。痺れは頻度が減り歩行など問題なく行えるようになった。痛みのスケール10→4に改善
2回目:痛みはかなり改善し生活に支障がないほどまで戻った。腰に多少張り感があるため前回同様、鍼と徒手によるリリースの施術を行った。その後、予防エクササイズなどの指導を行った。
考察
腰椎神経根の鍼通電で改善したことから、神経根周囲環境の低下により痺れをきたしていたのだと考える。腰部への負担がかかった要因としてはデスクワークなどで同一姿勢が続いたことや股関節周囲の筋肉の硬さなどが腰部に少しずつ負担をかけていった要因だと考る。





