【20代男性、太もも肉離れの痛み】が改善した症例
来院動機
草野球の試合で盗塁をした際に太もも裏を痛めた。受傷時にブチっと何かが切れたような音がしたが気にせずプレーを続行しようとしたが歩行が困難な状態になった。整形外科へ行きハムストリングス(太ももの裏)の肉離れと診断を受けた後、当院へ来院。
所見
・受傷から2週間経過していることもあり痛みは少し緩和しているが歩行の際に痛みがまだある状態。
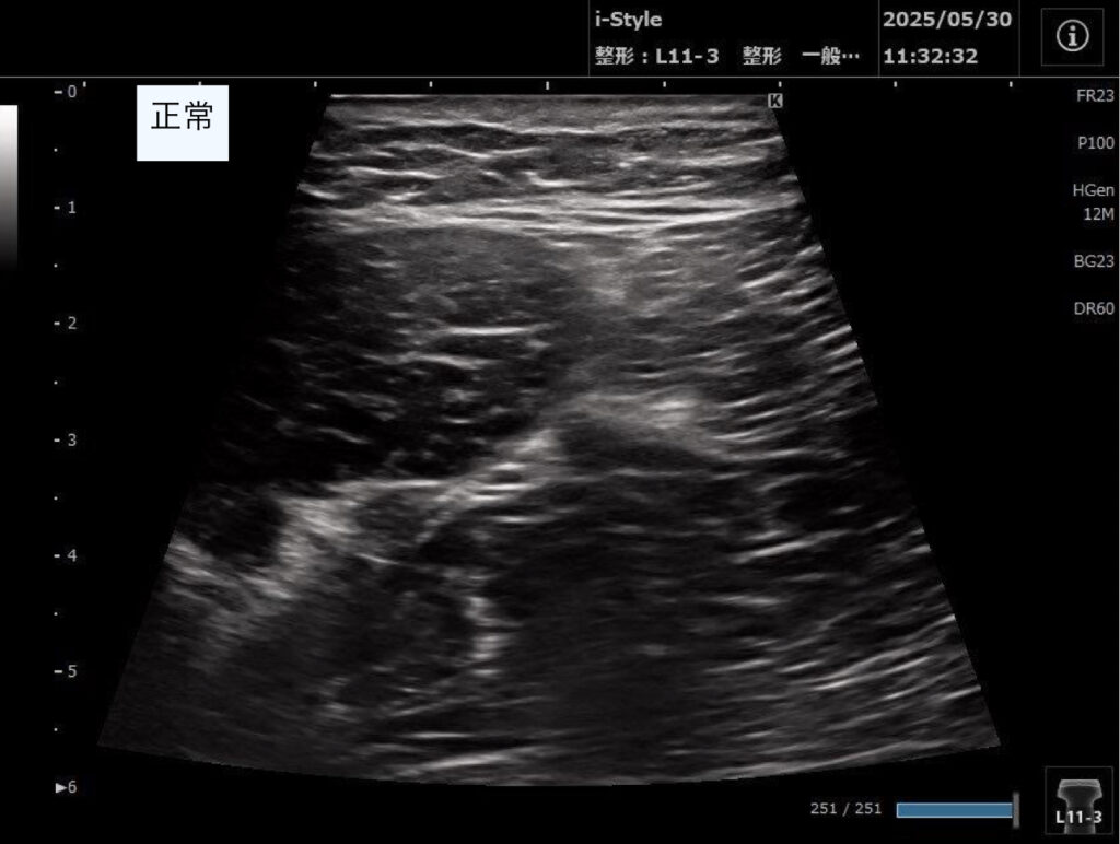
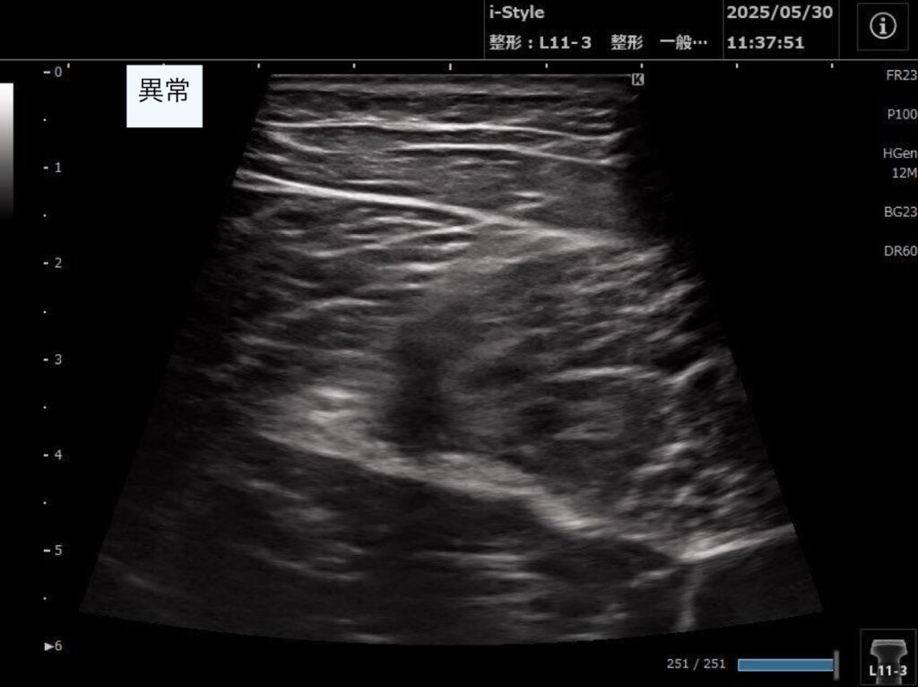
・超音波エコーで観察した結果、ハムストリングの筋が重なっている部分(共同腱)の収縮の低下があり、半腱様筋周囲に血種の低エコー像を認めた。
施術
初回:低エコー像を認める部分(半腱様筋)とハムストリングスの中を通る太い神経(坐骨神経)に鍼通電(パルス)を行い神経の滑走性低下の予防と、徒手で痛みを感じる部位(硬結部分)をほぐし周囲の環境改善を目的に施術を行った。
2回目以降:引き続き坐骨神経周囲の鍼通電と徒手療法を行い、歩行や日常生活での代償動作により臀部や腰部の痛みも発現したため同時進行で緩和を目的とした鍼通電、徒手療法を行った。



経過
初回:歩行時の痛みは施術前より緩和した。NRS(痛みのスケール)は10段階のうち5まで減少
2回目以降:歩行や日常生活での痛みはさらに改善した。超音波エコーでの観察は毎回行い、血腫の吸収具合を確認し筋肉や神経の癒着を改善していった。
スポーツ復帰のタイミングは痛みのありなしでの判断ではなく、毎回超音波エコーで確認を行い、しっかりと筋収縮が行えることを確認できた、8週間後となった。
考察
受傷起点から考えると、下肢のスタビリティ(安定性)の欠如により負荷に耐えられずに肉離れが起きてしまったのと考えられる。
肉離れからのスポーツ復帰は痛みのありなしで判断せず、超音波エコーでの筋肉、神経の動きを確認し正常な動きができているかで判断することが重要と考える。





